〉牙周治療 Perio 〉▸

一. 何謂牙周病?
牙周病,指的就是牙齒周圍組織的疾病。牙齒周圍組織包含牙齦、牙周韌帶、齒槽骨、牙骨質。可分為以下情況:
◎ 局部性因素引起的牙周病
其病因起源於牙齒表面殘餘食物,導致細菌附著其上,形成牙菌斑產生毒素刺激牙齦軟組織造成牙齦炎,而後牙齦開始萎縮,時有口臭,刷牙流血不止,甚至有牙齒動搖,冷熱酸痛,無法咬硬物。
◎ 全身性疾病引起的牙周病
如糖尿病、血癌、胃腸障礙、營養不良、懷孕期間或藥物刺激。某些類型的牙周病如青少年牙周炎患者往往有家族史,因此需考慮到是否有遺傳的因素。牙周病的病因比較複雜,不僅要注意局部因素的消除,也要考慮到全身性的狀態。
二. 牙周病可能的症狀:
- 刷牙時牙齦流血
- 牙齦紅腫或有膿包
- 牙齦萎縮、牙根暴露,間接導致牙縫變大,吃東西易塞食物
- 碰觸牙齦時牙齒與牙齦間有膿血流出
- 牙齒鬆動或逐漸移位
- 咬合時會有咬合無力
- 部分假牙會因牙周病而難以裝戴
- 持續性口臭
- 多數狀況下無疼痛感、無自覺

三. 什麼樣的病人可能會容易有牙周病?
- 根據台灣衛生福利部國民健康署統計----40歲以上成人,約9成有牙周病現象
- 遺傳
- 口腔衛生不佳,無使用牙線習慣、清潔方式不當
- 抽菸、烈酒、嚼檳榔…等不良習慣
- 伴隨糖尿病、高血壓藥物使用者
- 長期住院、免疫力不佳、營養不均
四. 牙周病檢查方式:
- X光(包含全景X光片、電腦斷層、小張根尖X光片)
- 使用專門工具(牙周探針)做牙周囊袋探測
五. 牙周病治療的方式:
依療程不同可分為下列方式
百雷射儀器治療牙周 顯微鏡牙周治療 補骨翻瓣手術》 百雷射儀器治療牙周
基礎的牙周治療完後,可搭配水雷射將更深處的牙結石與發炎組織清除,針對導致牙周病之厭氧菌做消毒滅菌處理,刺激骨再生,屬於非手術性牙周治療。
適用對象:牙周病輕~中度的病患

》 顯微鏡牙周治療
基礎的牙周治療搭配上顯微鏡放大,找出更深層病灶,能使治療效果更好,減少出血以及降低術後疼痛,避免術後抗生素過度使用。
適用對象:適用於牙周病所有病患

顯微鏡能將一顆牙齒放大10~20倍,能讓醫生的視野更加清楚,更能針對患處做處置,降低未來可能拔牙風險。
術中若有檢查到牙齒特殊狀況,醫師能夠拍攝照片,更詳細與患者討論未來治療計畫,更可提早發現微小的蛀牙及牙齒裂縫,早期發現、早期治療,提高牙齒壽命。
》 翻瓣補骨手術(牙周組織再生手術)
將牙肉翻開進行徹底清創,移除發炎組織及牙齦下牙結石,並補上人工骨粉及生長因子進行骨重建。
適用對象:牙周病中~重度的病患
本院均使用合法進口經衛服部認可之再生材料:
- 人工骨粉品牌 Bio-Oss 》
醫療用牛骨,牛隻於澳洲養育,骨粉於瑞士製造,無狂牛症疑慮。 - 生長因子 Emdogain 》
目前唯一證實對所有牙周組織(牙齦、牙周韌帶、齒槽骨、牙骨質)皆有誘導再生功能之生物性材料,瑞士製造。 - Teruplug日本原廠膠原蛋白 》
以醫療用牛基原蛋白質作為膠原來源,對人體親和力佳,可加速止血及修補大範圍傷口。
六. 院內案例分享:
依療程不同可分為下列方式
牙周病基礎治療 顯微鏡牙周治療案例 牙周病補骨手術案例 其餘牙周相關手術》 牙周病基礎治療
牙周病初期治療(無手術,治療前)![]() |
牙周病初期治療(無手術,治療後)![]() |
*以上醫師案例僅供參考;患者應依醫師個別評估結果為準。*
雄高信合美牙醫 牙周病科呂婷醫師 臨床案例提供
》 顯微鏡牙周治療案例
顯微鏡下進行牙周病治療,使用高倍數醫療顯微鏡,360度檢查每顆牙齒牙周狀況,紅色箭頭處可見造成牙周病主因的牙齦下牙結石,使用特殊顯微超音波工具清除後,可見乾淨的牙根表面,幾無出血(黃色箭頭處)。
治療前![]() |
治療後![]() |
*以上醫師案例僅供參考;患者應依醫師個別評估結果為準。*
雄高信合美牙醫 牙周病科呂婷醫師 臨床案例提供
》 牙周病補骨手術案例
術前:牙縫區骨頭嚴重流失(箭頭處)![]() |
術後:牙縫區獲得理想骨頭(箭頭處)![]() |
*以上醫師案例僅供參考;患者應依醫師個別評估結果為準。*
雄高信合美牙醫 牙周病科呂婷醫師 臨床手術案例提供
》 其餘牙周相關手術
齒槽骨保存術 自體牙齦移植手術(FGG) 牙冠延長手術(CLP) 鼻竇清創手術 根管感染合併牙周病骨缺損:牙根分岔區治療案例 因嚴重牙周病感染造成之口腔鼻竇穿孔修補案例 鼻竇破損後修補並進行上顎竇提升術之案例 因牙根囊腫感染後造成大量骨缺損之骨頭重建案例 外院植牙手術失敗造成植體周圍炎之人工植體取出案例 牙周病患齒矯正後進行牙周組織再生之案例 牙周再生手術案例 膠原蛋白修補案例分享 噴砂治療案例 前庭加深手術合併疤痕組織移除+游離牙齦移植覆蓋+雷射輔助修復正常組織案例 百雷射牙周治療案例▸ 齒槽骨保存術
牙齒無法保留時,目前治療主流建議拔牙後同時放置人工骨粉及自體生長因子(PRF,抽取自體血液後離心出高濃度自體生長因子,放置於補骨區,加速傷口癒合、減輕疼痛並提高骨頭生長率),避免拔牙後之骨萎縮,導致未來假牙製作以及植牙難度提升。
▸ 自體牙齦移植手術(FGG)
缺牙後可能伴隨角質化牙齦缺損,由上顎區移取約0.1公分厚之自體牙齦至患區,重建正常牙齦組織。
▸ 牙冠延長手術(CLP)
- 牙齒因嚴重缺損難以進行假牙修復,但牙齒穩定度仍堪用時,可考慮以本手術延長牙冠,以避免拔牙。
- 牙齦增生過度嚴重時,作為美容手術用途。
牙冠延長手術後假牙製作案例:
術前:車禍導致嚴重牙齒缺損,臨時假牙不堪使用
![]() |
![]() |
術後:牙冠加長,置入碳纖維釘柱後,裝上固定的臨時假牙,等待後植牙重建的同時,日常生活可擁有一定的美觀
![]() |
![]() |
*以上醫師案例僅供參考;患者應依醫師個別評估結果為準。*
雄高信合美牙醫 牙周病科呂婷醫師 臨床手術案例提供
牙冠延長手術美容案例:
| 術前:牙齦增生嚴重,造成牙齒過短, 笑容不美觀 ![]() |
術後:牙齒恢復正常大小,重獲美觀笑容![]() |
*以上醫師案例僅供參考;患者應依醫師個別評估結果為準。*
雄高信合美牙醫 牙周病科呂婷醫師 臨床手術案例提供
▸ 鼻竇清創手術
術前:可見箭頭處嚴重感染,病人主訴常常流鼻涕。

術後:箭頭處可見感染區縮小,回復清澈鼻竇,病人反映鼻涕症狀獲得解決。

*以上醫師案例僅供參考;患者應依醫師個別評估結果為準。*
雄高信合美牙醫 牙周病科呂婷醫師 臨床手術案例提供
▸ 根管感染合併牙周病骨缺損:牙根分岔區治療案例
牙根分岔區傳統上是不利牙周重建治療的區域,拔牙比例偏高,癒後不佳。
本案例經根管合併顯微鏡治療後,使用人工骨粉及生長因子(Emdogain)進行牙周組織重建手術,紅色箭頭處可見清楚之骨再生。
術前:![]() |
術後:![]() |
*以上醫師案例僅供參考;患者應依醫師個別評估結果為準。*
雄高信合美牙醫 牙周病科呂婷醫師/根管治療科楊理涵醫師 臨床案例提供
▸ 因嚴重牙周病感染造成之口腔鼻竇穿孔修補案例
術前:紅色箭頭處可見牙根周圍明顯之骨缺失,並與上顎竇貫通。

術後:經拔牙及專業工具清創後,填補膠原蛋白修補破損之上顎竇黏膜,蓋上止血敷料後縫合,術後一年可見清楚之骨再生,合併顯微鏡下牙周治療,前一顆牙齒亦得以保存。

*以上醫師案例僅供參考;患者應依醫師個別評估結果為準。*
雄高信合美牙醫 牙周病科呂婷醫師 臨床案例提供
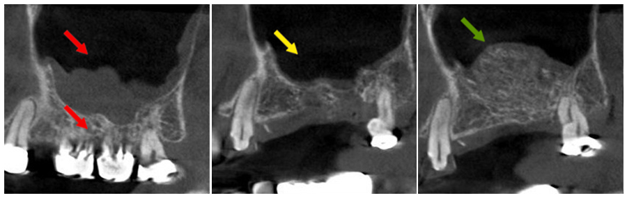
▸ 鼻竇破損後修補並進行上顎竇提升術之案例
病人於外院進行彈夾牙治療後牙根斷裂,合併鼻竇穿孔,鼻竇黏膜嚴重感染。

- 紅色箭頭:下方牙齒牙根斷裂,鼻竇黏膜感染增厚。
- 黃色箭頭:移除患齒後進行清創,拔牙後使用膠原蛋白修補,兩個月後恢復清澈鼻竇(影像區為黑色)。
- 綠色箭頭:鼻竇恢復健康後,進行上顎竇提升手術補骨,恢復上顎竇正常骨量,準備進行人工植牙手術。
*以上醫師案例僅供參考;患者應依醫師個別評估結果為準。*
雄高信合美牙醫 牙周病科呂婷醫師 臨床案例提供
▸ 因牙根囊腫感染後造成大量骨缺損之骨頭重建案例
本案例為嚴重囊腫感染造成骨流失之案例(紅色箭頭處可見嚴重骨缺損),先進行第一次手術剜除囊腫,合併雷射清創,檢送病理化驗確認為良性囊腫後等待數月,待傷口癒合後進行骨釘植入、再生膜覆蓋並注射自體生長因子。四個月後可見豐沛之骨生長。
術前:![]() |
術後:![]() |
*以上醫師案例僅供參考;患者應依醫師個別評估結果為準。*
雄高信合美牙醫 牙周病科呂婷醫師 臨床案例提供
▸ 外院植牙手術失敗造成植體周圍炎之人工植體取出案例
術前:紅色箭頭處可見嚴重骨缺損![]() |
術後:取出後,併用自體生長因子覆蓋患處,加速傷口癒合。![]() |
*以上醫師案例僅供參考;患者應依醫師個別評估結果為準。*
雄高信合美牙醫 牙周病科呂婷醫師 臨床案例提供
▸ 牙周病患齒矯正後進行牙周組織再生之案例
矯正後因牙周病造成骨缺損,電腦斷層上可見明顯骨缺損(紅色箭頭處),經牙周組織再生手術,合併人工骨粉、再生膜及生長因子進行組織重建,術後半年可見明顯之骨再生(黃色箭頭處)。
術前:![]() |
術後:![]() |
*以上醫師案例僅供參考;患者應依醫師個別評估結果為準。*
雄高信合美牙醫 牙周病科呂婷醫師 臨床案例提供
▸ 牙周再生手術案例
牙根分岔區及前方牙根可見黑色骨流失(紅色箭頭處),經牙周再生手術後,使用人工骨粉及生長因子重建失去之齒槽骨,三年後可見X光片上更緻密之白色影像(黃色箭頭處)。
術前:![]() |
術後:![]() |
*以上醫師案例僅供參考;患者應依醫師個別評估結果為準。*
雄高信合美牙醫 牙周病科呂婷醫師 臨床案例提供
▸ 膠原蛋白修補案例分享
第一大臼齒(黃色箭頭)及第二大臼齒(紅色箭頭)拔牙患者。第二大臼齒區放置膠原蛋白敷料,第一大臼齒區未放置。一周後可見第二大臼齒(紅色箭頭)復原更迅速,傷口大小僅有第一大臼齒(黃色箭頭)一半以下,且傷口平整,復原良好。

*以上醫師案例僅供參考;患者應依醫師個別評估結果為準。*
雄高信合美牙醫 牙周病科呂婷醫師 臨床案例提供
▸ 噴砂治療案例
噴砂治療為牙周病及人工植體周圍炎治療前預備治療,於煙癮或者嚼食檳榔患者身上,在開始主療程前先以噴砂方式清除菸垢及檳榔垢後,露出乾淨牙根表面,再開始進行牙周病治療,提升治療成效。

紅色箭頭:(噴砂前)菸垢及檳榔垢嚴重堆積。
黃色箭頭:(噴砂後)牙齒牙根表面乾淨,醫師得以仔細檢查牙周病以及植體感染源。
*以上醫師案例僅供參考;患者應依醫師個別評估結果為準。*
雄高信合美牙醫 牙周病科呂婷醫師 臨床案例提供
▸ 車禍後,前庭加深手術合併疤痕組織移除+游離牙齦移植覆蓋+雷射輔助修復正常組織案例
| 治療前(紅色箭頭) : 嚴重疤痕組織增生,導致牙齦組織攣縮,嘴唇無法正常閉合,刷牙不舒服,也無法製作正式假牙。 ![]() |
治療後(黃色箭頭) : 前庭恢復正常位置,嘴唇得以正常閉合,疤痕組織移除後,可見新生血管組織,可正常刷牙並製作正式假牙。 ![]() |
*以上醫師案例僅供參考;患者應依醫師個別評估結果為準。*
雄高信合美牙醫 牙周病科呂婷醫師 臨床案例提供
▸ 百雷射牙周治療案例
| 治療前(紅色箭頭) : 1.牙齒表面粗糙,可見牙齦下大塊牙結石 2.牙根分岔區可見明顯骨流失黑影 3.牙齒周圍骨質疏鬆 ![]() |
治療後(黃色箭頭) : 1.牙齒恢復光滑表面,促進牙齦組織貼合,刷牙不流血 2.牙根分岔區可見黑影區域縮小,明顯骨再生 3.牙齒周圍骨再生良好,產生白色緻密堅硬骨頭,使牙齒更穩固 ![]() |
*以上醫師案例僅供參考;患者應依醫師個別評估結果為準。*
雄高信合美牙醫 牙周病科呂婷醫師 臨床案例提供
七. 術後注意事項
◎ 齒槽脊保存術/引導性骨再生手術(補骨)術後注意事項
- 補骨手術成功率與骨粉穩定度有關,術後切勿用手或是舌頭碰觸或是舔舐傷口,請使用手術專用牙刷或者棉花棒輕輕撥除傷口上食物殘渣。部分骨缺損嚴重患者會額外使用骨釘(金屬)及再生膜(白色或黃色)增進補骨效果,若直接暴露於口內請盡速預約回診。傷口偶有零星骨粉脫落為正常現象。
- 醫師可能視情況於手術區覆蓋牙周敷料或自體血液濃縮生長因子(CGF,術前會抽血離心)加速傷口癒合,牙周敷料及CGF因時間水解脫落為正常現象。
- 術後些微腫脹為常見現象,腫脹程度依個人體質不同,通常於術後一~三日達到高峰,可能伴隨臉頰、頸部瘀青及吞嚥困難現象,飲食上可食用較易吞嚥之食物,避免吞東西時嗆到。如腫脹外伴隨異味或是化膿、發燒,請務必來電預約回診。
- 請盡量避免使用手術部分咀嚼。避免麻辣、刺激性食物、硬食(如:油炸物)及生食、勿飲用過熱之飲料或飲酒、勿抽菸。
- 術後請按時服藥避免傷口發炎,造成手術失敗感染。處方內已包含抗生素、止痛藥、胃藥。(有藥物過敏者請務必告知醫師,以便藥物種類調整)
- 手術後72小時不可用力漱口、吐口水,少說話或做過度張口動作(會影響止血及傷口癒合),除口腔外冰敷外,亦可視情況含冰塊冰水降低疼痛。喝水請用杯子,不可使用吸管做吸食動作,此舉可能增加出血風險。漱口水(無酒精性)須於三日後方可使用。
- 手術前幾日術區輕微滲血為常見現象,提袋內備有滅菌紗布,若有持續流血可清潔雙手後打開滅菌包裝,將紗布加入開水或生理食鹽水沾濕,輕壓於傷口處加壓止血(為避免骨粉移位,不可重壓)。若仍有流血不止或是劇烈疼痛現象,請告知診所並盡速安排回診。
- 術區如有活動假牙,回診時請一併攜帶並告知醫師,可能須做必要調整,避免傷口壓迫影響補骨效果。
- 術區附近潰瘍為術後常見現象,可配合口內藥膏塗敷降低不適。
◎ 破損鼻竇修補/鼻竇清創手術/上顎竇提升術注意事項
- 鼻竇相關治療成功率與穩定度有關,術後切勿用手或舌頭碰觸,不可吸吮傷口,請使用手術專用牙刷或者棉花棒輕輕撥除傷口上食物殘渣。
- 術後些許鼻涕鼻水帶血絲為正常現象,請勿用力擤鼻涕,如有鼻涕鼻水血絲,請用擦拭方式移除,或於鼻腔內塞入棉花吸取液體。
- 鼻竇破損嚴重患者會額外使用膠原蛋白、及自體血液濃縮生長因子(PRF)增進修補效果,若直接暴露於口內請盡速預約回診。傷口如有暗紅色物體脫落,為血塊或者止血敷料(胺基酸成分),吞下亦無須回診。
- 些微腫脹為常見現象,腫脹程度依個人體質不同,通常於術後一~三日達到高峰,可能伴隨臉頰瘀青及喉嚨腫痛吞嚥困難,飲食上可食用較易吞嚥之食物。如腫脹外伴隨異味或是化膿、發燒,請務必來電預約回診。
- 請盡量避免使用手術部分咀嚼。避免麻辣、刺激性食物、硬食(如:油炸物)及生食、勿飲用過熱之飲料或飲酒、勿抽菸。
- 造成口腔鼻竇穿孔感染細菌,較一般細菌感染更為複雜棘手,請務必按時服藥避免傷口發炎,造成更嚴重感染。處方內包含抗生素及止痛藥。抗生素需服用完整療程,止痛藥可視個人狀況自行減量。
- 手術後72小時不可用力漱口、吐口水,少說話或做過度張口動作,除口腔外冰敷外,亦可視情況含冰塊冰水降低疼痛。喝水請用杯子,不可使用吸管做吸食動作,此舉可能增加鼻竇再度破裂風險。漱口水(無酒精性)須於三日後方可使用。
- 治療後前幾日術區輕微滲血為常見現象,若有持續流血可使用滅菌紗布加壓,清潔雙手後打開滅菌包裝,將紗布加入開水或生理食鹽水沾濕,輕壓於傷口處加壓止血。
- 治療後前幾日睡覺時,請使用枕頭將頭稍微墊高,降低血液回流,減緩術後出血。
- 術區附近潰瘍為術後常見現象,可配合口內藥膏塗敷降低不適。
- 術後一周內不得游泳、潛水、劇烈運動,不可做樂器吹奏(長笛、小喇叭等),以上行為將大幅提升鼻竇破裂感染風險。
◎ 角化牙齦移植術(補皮)術後注意事項
- 角化牙齦移植術為角化牙齦不足時,為維護術區長遠良好預後所施行之術式。角化牙齦移植術會自上顎顎側移植自體角化牙齦至術區後縫合,術後一~二周會配戴手術模板壓迫止血並且避免外來接觸,以加速傷口復原。
- 手術成功率與牙肉穩定度有關,術後切勿用手或是舌頭碰觸舔舐傷口,亦請勿用力漱口,請使用手術專用牙刷或者棉花棒輕輕撥除傷口上食物殘渣
- 術後模板內會放上紗布加壓止血,術後一個小時請將模板取下後再移除紗布(不可用力抽離或者用力拉扯紗布,此舉將大幅提高術後出血風險),移除後請將模板戴回(部分牙周病患者牙縫較大者,模板較緊,可使用毛線勾針將模板輕撬下)
- 術後些微腫脹為正常現象,腫脹程度依個人體質不同,通常於術後一~三日達到高峰,部分患者可能伴隨臉頰輕微腫脹及吞嚥困難現象,如腫脹外伴隨異味或是化膿、發燒,請務必來電預約回診。
- 進食時請配戴手術模板,防止食物碰觸術區,造成皮瓣移位壞死或者二度出血。避免麻辣、刺激性食物、硬食(如:油炸物)及生食、勿飲用過熱之飲料或飲酒、勿抽菸。
- 術後請按時服藥避免傷口發炎,造成手術失敗感染。處方內已包含抗生素、止痛藥、胃藥。(有藥物過敏者請務必告知醫師,以便藥物種類調整)
- 手術後72小時不可用力漱口、吐口水,少說話或做過度張口動作(會影響止血及傷口癒合),除口腔外冰敷外,亦可視情況含冰塊冰水降低疼痛。喝水請用杯子,不可使用吸管做吸食動作,此舉可能增加出血風險。
- 手術前幾日術區輕微滲血為正常現象,提袋內備有滅菌紗布,若有持續流血可清潔雙手後打開滅菌包裝,將紗布加入開水或生理食鹽水沾濕,輕壓於傷口處加壓止血(為避免移植牙肉壞死,不可重壓)。若仍有流血不止或是劇烈疼痛現象,請告知診所並盡速安排回診。
- 術區附近潰瘍為術後常見現象,可配合口內藥膏塗敷降低不適。
眼科推薦閱讀:
Lasik|近視雷射矯正手術說明
植入式隱形眼鏡和近視雷射的差異
- 北高雄客服專線: (07)5866-333 地址:高雄市鼓山區中華一路828號 (中華路與明誠路口)
- 南高雄客服專線: (07)222-6166 地址:高雄市新興區民生一路208號 (民生路與復興路三角窗)





























